Krankheitsformen: Welche Arten der kongenitalen dyserythropoetischen Anämie gibt es?
Autor: Prof. Dr. med. Stefan Eber, Kilian Hierdeis, Zuletzt geändert: 11.09.2024 https://kinderblutkrankheiten.de/doi/e116893
Inhaltsverzeichnis
Die wichtigste Veränderung in der Diagnostik in den letzten Jahren besteht darin, dass heutzutage die Klassifizierung der CDA hauptsächlich durch genetische Untersuchungen erfolgt. Auf eine Knochenmarkpunktion kann deshalb in Rücksprache mit einem erfahrenen pädiatrischen Blutspezialisten verzichtet werden. Aus historischen Gründen und zur besseren Anschaulichkeit werden nachfolgend die jeweiligen morphologischen Veränderungen der Vorläuferzellen und der dazugehörigen Zellkerne dargestellt.
Aufgrund ihrer verschiedenen Erbgutveränderungen (Gen-Mutationen) und des jeweils typischen Erscheinungsbildes der kranken roten Blutkörperchen (Erythrozyten) unter dem Mikroskop (Zytomorphologie) unterteilen die Spezialisten die kongenitalen dyserythropoetischen Anämien in vier Unterformen (Typ I, II, III, IV). Typ II ist die häufigste Form, Typ I eine seltenere Variante. Über Patienten mit Typ III wurde bisher in Deutschland nicht berichtet, weltweit sind etwa 60 Fälle bekannt. Die CDA IV ist eine neu entdeckte Form der CDA und wurde bisher nur in 4 Fällen beschrieben.
CDA Typ I
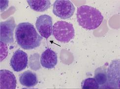
Beim Typ I, einer eher seltenen Variante der CDA, handelt es sich um eine autosomal-rezessive Form (d. h. von beiden Elternteilen ererbt). Es finden sich unter dem Mikroskop typischerweise krankhaft große rote Blutkörperchen (Makrozytose). Charakteristisch ist auch, dass die Kerne der noch unreifen roten Blutkörperchen (Erythroblasten) oft über kleinste Eiweiß- und DNA-Fäden miteinander verbunden sind, das heißt so genannte Chromatinbrücken bilden. Außerdem sind die Kernwände (Kernmembranen) dieser Zellen häufig krankhaft durchlässig für bestimmte Substanzen aus dem Zellinneren wie beispielsweise für roten Blutfarbstoff (Hämoglobin) oder sogar kleinste Zellorgane (Zellorganellen). Dadurch kann es zu Störungen des Kernstoffwechsels beziehungsweise der Erbsubstanz (DNA) kommen. Oft zeigt sich klinisch dadurch eine Milzvergrößerung (Splenomegalie), nur selten auch eine Lebervergrößerung (Hepatomegalie) und in 30 % der Fälle auch angeborene Fehlbildungen von Gliedmaßen und vom Herz.
CDA Typ II
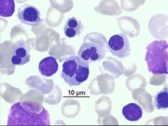
Die CDA vom Typ II ist die häufigste Form. Hierbei handelt es sich um eine autosomal-rezessive vererbte Krankheitsform, die oft zu einer Eisenüberladung führt (auch ohne Transfusion). Verglichen mit dem Typ I, leiden Kinder und Jugendliche mit dieser Variante häufig an einer stärker ausgeprägten Blutarmut. Unter dem Mikroskop finden sich in der Regel normal große rote Blutkörperchen (Normozytose), jedoch besitzen diese krankhafterweise meistens zwei oder sogar mehr Kerne. Eine solche Mehrkernigkeit führt zu Fehlern bei der Zellteilung. Neben diesen morphologischen Veränderungen werden beim CDA-Typ II regelmäßig auch Stoffwechselstörungen der Zellwände der roten Blutkörperchen gefunden. Klinisch zeigen sich häufig eine Milzvergrößerung (Splenomegalie) und auch hier ist selten die Leber betroffen. Gallensteine und sekundäre Eisenüberladungen (siehe Absatz Eisenüberladung) sind möglich.
CDA Typ III
Beim Typ III können die roten Blutzellen verschiedene Größen aufweisen. Darunter finden sich auch so genannte Gigantoblasten mit bis zu 12 Kernen. Über Patienten mit Typ III wurde bisher in Deutschland nicht berichtet. Die Symptome verstärken sich während Infektionen, nach Verletzungen und in der Schwangerschaft. Im Vergleich zu den anderen CDA-Formen sind die Blutarmut und die mikroskopisch nachgewiesene Makrozytose bei Neugeborenen leichter ausgeprägt, weswegen die Krankheit bis hinein in das Kindes- oder Erwachsenalter unentdeckt bleiben kann.
CDA Typ IV
Der CDA Typ IV ist kürzlich entdeckt worden. Dieser wird autosomal-dominant oder X-chromosomal rezessiv vererbt, siehe X-chromosomale Vererbung. Bisher wurden nur vier Fälle beschrieben. Die Patienten haben bei Geburt schwere Anämien, die wiederholte Transfusionen erfordern. Weitere Symptome sind Leber- und Milzvergrößerung (Hepato- und Splenomegalie), Gelbsucht (Ikterus), Herzmuskelerkrankungen (hypertrophe Kardiomyopathie) und vereinzelt Fehlbildungen. In der Labordiagnostik kann sich eine verminderte Anzahl an Thrombozyten (Thrombozytopenie) zeigen. In der Mikroskopie gibt es keine spezifischen Hinweise auf Zellveränderungen wie bei Typ I, II und III. Deswegen erfolgt in der Regel eine Sequenzierung der entsprechenden mutierten Gene.
Feinste Unterschiede zwischen den einzelnen Unterformen werden von Spezialisten mittels molekulargenetischer Methoden nachgewiesen.



