Diagnostik: Wie wird die Sichelzellkrankheit festgestellt?
Autor: PD Dr. med. Gesche Riabowol, Redaktion: Ingrid Grüneberg, Freigabe: Dr. med. S. Lobitz, Dr. med. R. Dickerhoff, Prof. Dr. med. U. Creutzig, Zuletzt geändert: 08.09.2025 https://kinderblutkrankheiten.de/doi/e100629
Die frühzeitige Diagnose der Sichelzellkrankheit ist die Voraussetzung für eine gute Behandlung und Betreuung. Daher sollte bei allen Neugeborenen, deren Eltern aus Risikoregionen wie West- und Zentralafrika, der Türkei, Süditalien, Griechenland, den Ländern des Mittleren Ostens oder Indien stammen, eine spezielle Blutuntersuchung (siehe unten) erfolgen. Auf diese Weise kann man die Erkrankung rechtzeitig erkennen beziehungsweise ausschließen. In manchen Ländern (England, Frankreich, Holland, Belgien, USA) wird dieser Bluttest bereits als Routineuntersuchung kurz nach der Geburt durchgeführt (so genanntes Neugeborenen-Screening).
Ebenso wie bei den Neugeborenen sollte auch bei allen älteren Kindern und Jugendlichen aus den oben genannten Ländern (oder deren Eltern von dort kommen), die Zeichen der Blutarmut, häufige unklare Schmerzepisoden oder oft schwere Infekte haben (siehe Krankheitszeichen) unbedingt und zügig ein (Kinder-)arzt aufgesucht werden. Findet dieser durch die Krankheitsgeschichte (Anamnese) und die körperliche Untersuchung des Patienten Hinweise auf eine Sichelzellkrankheit, wird er eine Blutentnahme vornehmen. Für eventuelle weitere Untersuchungen wird der Arzt den Patienten in ein Krankenhaus überweisen, das auf Bluterkrankungen bei Kindern und Jugendlichen spezialisiert ist (Klinik für Pädiatrische Hämatologie).
Die Diagnose der Sichelzellkrankheit kann durch eine Blutuntersuchung, die Hämoglobin-Elektrophorese heißt, sichergestellt werden. Hierbei wird in einer Blutprobe des Patienten nach dem Sichelzell-Hämoglobin (Hämoglobin S, HbS) gesucht. Findet sich HbS zu weniger als 50 % des gesamten Hämoglobins in der Blutprobe, so handelt es sich um einen Träger der Sichelzellkrankheit. Macht das HbS den größeren Anteil (> 50 %) am Gesamthämoglobin aus, kann eine Sichelzellkrankheit vorliegen. Eine modernere Methode zum Nachweis einer Sichelzellkrankheit ist die so genannte Hochleistungs-Flüssigkeits-Chromatographie.
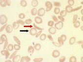
Bei manchen Sichelzellpatienten kann man die sichelförmigen roten Blutkörperchen bereits in einem einfachen Blutausstrich unter dem Mikroskop sehen (siehe Abbildung rechts). Wenn keine Sichelzellen zu sehen sind, bedeutet dies allerdings nicht, dass keine Sichelzellkrankheit vorliegt.
Es gibt außerdem molekulargenetische Untersuchungen, durch die Informationen über die Form der Sichelzellkrankheit, wie HbSS- oder HbSC-Krankheit oder Sichelzell-Thalassämie, gewonnen werden können.
Weitere Untersuchungen können einerseits notwendig werden, wenn es zu gesundheitlichen Problemen im Rahmen der Erkrankung kommt und andererseits, um diesen vorzubeugen. Zu diesen Untersuchungen gehören beispielsweise:
- vorgeburtliche (pränatale) Diagnostik
- regelmäßige körperliche Untersuchungen im Spezialzentrum
- Blut- und Urinuntersuchungen sowie Untersuchung von Gehirn-Rückenmark-Flüssigkeit (Liquor)
- Bestimmung der Blutgruppe im Hinblick auf eventuell notwendig werdende Bluttransfusionen
- Ultraschalluntersuchungen des Bauchraums und des Herzens
- Ultraschall der Blutgefäße des Gehirns
- Röntgenuntersuchungen der Lunge oder von Knochen und Gelenken
- Computertomographie oder Magnetresonanztomographie des Gehirns
- augenärztliche Untersuchungen
Nicht alle Untersuchungen sind bei jedem Patienten notwendig. Ihr Behandlungsteam wird Sie darüber informieren, welche diagnostischen Verfahren bei Ihrem Kind jeweils erforderlich sind.


